
Etiology of cystine stone formation is revealed
Atlanta-For the past several years, Andrew P. Evan, PhD, chancellor's professor of anatomy and cell biology at Indiana University, Indianapolis, and his colleagues have pursued the etiology of kidney stone formation, stone by stone.
Atlanta-For the past several years, Andrew P. Evan, PhD, chancellor's professor of anatomy and cell biology at Indiana University, Indianapolis, and his colleagues have pursued the etiology of kidney stone formation, stone by stone.


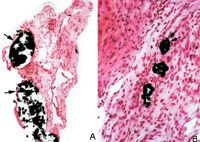
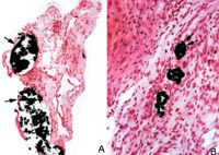
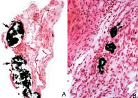
What he and his colleagues found was that cystine crystallizes in the ducts of Bellini to initiate a series of well-defined pathologic changes. Many ducts of Bellini in the cystine patients whose papillae were biopsied for the study showed an enlarged ostium plugged with cystine crystals in addition to injured or absent lining cells with a surrounding interstitium that was inflamed and often fibrotic.


The researchers surmised that cystine in the ducts of Bellini carries the potential to engender cell injury, interstitial reaction, and nephron obstruction. In addition, cortical change may occur, with the subsequent loss of inner medullary collecting duct tubular fluid pH regulation leading to apatite formation. This pattern is compatible with obstruction of ducts by Bellini lumen plugs or urinary tract obstruction from stones.
"This mechanism [of cystine stone formation] is completely different from what is seen in the typical calcium oxalate stone former. Again, this is a very unique group of stone formers," Dr. Evan explained. "The primary events for crystallization occur down in the medulla. There is substantial injury to the tubule in the tubular lumen, and there is the progression of fibrosis with the cortical changes, which we think contributes to the poor prognosis given these patients."


Why? Dr. Evan suggested that his predecessors had lacked the technology to examine the kidney this closely. The biopsied papillae were examined by routine light and electron microscopy, infrared spectroscopy, electron diffraction, and micro-computed tomography. The central piece of technology, however, was an advanced digital nephroscopic camera that allowed the papillae to be imaged. The camera was also used to obtain biopsy specimens.
"We are pursuing a number of studies," he said. "I have cortical biopsies because I think that the poor renal function of these patients is expressed in the cortex.We are trying to figure out the correlates that would cause the glomerular filtration rate to drop as much as it does. The papillae are great for localizing minerals but we think the key to the loss of function has to be in the cortex."
Newsletter
Stay current with the latest urology news and practice-changing insights — sign up now for the essential updates every urologist needs.


















