
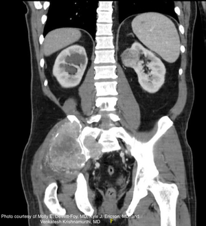
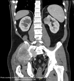
The authors discuss the case of a 57-year-old man who initially presents to a general surgeon with a chief complaint of right lower back and posterior neck pain, with associated soft tissue swelling. On presentation to the authors' institution, he had experienced regrowth of the masses with "ticking" in the right lumbar area that he correlated with his heartbeat. He also reported unintentional weight loss of 15 pounds over the previous 3 months.




