
An expert panel discusses the challenges of detecting and managing biochemical recurrence in the context of oligometastatic prostate cancer.

An expert panel discusses the challenges of detecting and managing biochemical recurrence in the context of oligometastatic prostate cancer.

"I hope many readers have taken the opportunity to learn from the evolving science and gone back to review the basics of virology, immune response, and clinical trial development to gain a better understanding of this global pathogen," writes Raoul S. Concepcion, MD, FACS.

A nurse practitioner discusses how she supports multiple providers in a large academic practice.

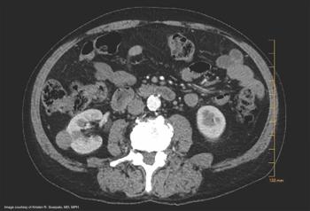
An expert panel discusses the case of a 65-year-old Caucasian male who is noted to have an incidental 3-cm right renal mass, enhancing on a contrasted CT scan as part of a routine follow-up for his metastatic castration-resistant prostate cancer, diagnosed in 2017 and currently undergoing therapy.

Opportunity exists to develop superior risk assessment models in prostate cancer.

Determining grade of disease is important, as nephron-sparing approaches may be feasible.




Hear from key opinion leaders in the urology space as they discuss 2 complex cases across the multidisciplinary approach in upper tract urothelial carcinoma and an incidentally discovered renal mass.

"As we slowly move toward the promise of precision medicine, it is important to understand fully this concept and the importance of testing and how it is to be used for diagnosis, management, and risk assessment," writes Raoul S. Concepcion, MD, FACS.

Hear from key opinion leaders in the urology space as they discuss 3 complex cases across the multidisciplinary approach.

"The 21st century has ushered in technology that has created more access and readily available information at our fingertips," Raoul S. Concepcion, MD, FACS.

Renal mass biopsy should be used for patients in whom results would impact management decisions.

Advances in genomic testing will help determine lines of therapy in men with mCSPC and mCRPC, according to Raoul S. Concepcion, MD.

Raoul S. Concepcion, MD, uses his group's experience to illustrate how other urology groups can successfully incorporate APPs into their practice model and provide state-of-the-art care.

Published: December 8th 2020 | Updated:

Published: November 18th 2020 | Updated:

Published: January 20th 2021 | Updated:

Published: March 12th 2021 | Updated:

Published: September 17th 2020 | Updated:

Published: March 5th 2021 | Updated: