Challenging case: Hematuria in man with a history of prostate Ca
A 63-year-old African-American male presents to the emergency department with sudden onset of painless gross hematuria for one day. He reports dark red urine with clots causing occasional dysuria, difficulty emptying, and light-headedness.
“Challenging Cases in Urology” is a new Urology Times section in which residents from the nation’s leading urology programs present their toughest cases and how they ultimately managed them. Cases inform readers of the problem-solving process and provide a lesson from the authors’ experience.
History
A 63-year-old African-American male presents to the emergency department with sudden onset of painless gross hematuria for one day. He reports dark red urine with clots causing occasional dysuria, difficulty emptying, and light-headedness.
He had undergone a robot-assisted laparoscopic prostatectomy 12 years prior for pT2aN0 Gleason 3+4=7 prostate cancer, with negative surgical margins. His preoperative PSA was 8.6 ng/dL and his postoperative PSA nadir was <0.05 ng/dL 3 months after surgery. He was lost to follow-up until his current presentation. The patient notes that he received no further treatment for prostate cancer since his surgery.
His remaining past medical history is significant for hypertension, well-managed type 2 diabetes mellitus, and Paget’s disease of bone. He does not take any noteworthy medications. He denies family history of genitourinary malignancies and denies any history of smoking. He works as an MRI technician.
Physical examination
The patient is afebrile and presents with blood pressure of 133/90 mm Hg and heart rate of 97 bpm. His BMI is 30 kg/m2. He appears to have a slight pallor. His respirations are unlabored. His abdominal exam reveals a soft, non-tender, non-distended abdomen with well-healed port sites and a small, easily reducible umbilical hernia.
The patient’s genitourinary exam shows a circumcised phallus and bilaterally descended testes with no remarkable findings. His capillary refill time is 3 seconds. On insertion of a Foley catheter, there is return of cherry red-colored urine with clots.
Testing
Laboratory evaluation reveals creatinine 0.89 mg/dL, white blood cell count 12.3 x103/µL, hemoglobin 8.4 g/dL, hematocrit 24.8%, and platelets 125 x103/µL. Electrolytes are within normal range. His PSA is 0.12 ng/mL. His voided urinalysis demonstrates >45 red blood cells, 5 white blood cells, trace leukocyte esterase, negative nitrite, and no bacteria.
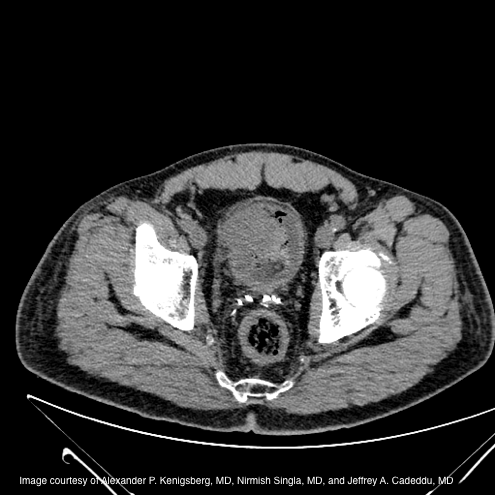
A CT urogram is obtained (figure 1). Imaging reveals a heterogeneous 4cm enhancing mass at the right aspect of the bladder anterolaterally, with some stranding changes noted in the fat adjacent to this lesion. No hydronephrosis, pelvic lymphadenopathy, or sites of metastatic disease are found.


Figure 1. Large anterior enhancing bladder mass on CT urogram
Internal server error