
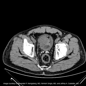
A 63-year-old African-American male presents to the emergency department with sudden onset of painless gross hematuria for one day. He reports dark red urine with clots causing occasional dysuria, difficulty emptying, and light-headedness.

A 63-year-old African-American male presents to the emergency department with sudden onset of painless gross hematuria for one day. He reports dark red urine with clots causing occasional dysuria, difficulty emptying, and light-headedness.

Published: September 3rd 2019 | Updated: