Business
Practice ManagementMalpractice ConsultHealth Law & Policy
Media
Case-Based Peer PerspectivesInvestigator Perspectives Medical World NewsPodcastsUrology Medical PerspectivesUTv VideosPeer ExchangeSpecial ReportVirtual Tumor BoardInsightsMedcastPeers & Perspectives
Conferences
Conference ListingConference Previews Conference Recaps
Publications
Urology Times JournalEditorial Advisory BoardUrologists in Cancer CareSupplements and Featured PublicationsClinical Forums Recaps
More
CME/CE
Resources
Begin Your Journey: Tackling BurnoutSponsored MediaLive EventsInteractive ToolsJob BoardPartnersSponsored ResourcesTreatment Landscape Evolutions

Subscribe

  • Business
  • Media
  • Conferences
  • Publications
  • CME/CE
  • Resources
  • Subscribe
  • Benign Conditions
  • Benign Prostatic Hyperplasia
  • Bladder Cancer
  • Female Urology
  • Genitourinary Cancers
  • Genomic Testing
  • Hormone Therapy
  • Kidney Cancer
  • Kidney Stones
    • Challenging Anatomy
  • Men's Health
  • Next-Generation Imaging
  • OAB and Incontinence
    • Voiding Dysfunction
  • Pediatrics
  • Prostate Cancer
    • Controveries in Urologic Cancer
    • Drug Therapy
  • Sexual Dysfunction
  • UTUC
  • Urologic Surgery
    • Cosmetic Surgery
Spotlight -
Peer Exchange|
Peers and Perspectives|
Case-Based Peer Perspectives|
Urology Times Journal
Advertisement

Brett Watson, MD

Advertisement

Articles by Brett Watson, MD

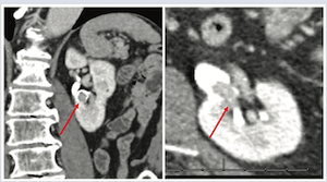
Management of UTUC using a kidney-sparing approach

ByBrett Watson, MD,Jason M. Hafron, MD, CMO
May 21st 2020

Advances in endourology have made kidney-sparing treatments a viable treatment option.

Advertisement

Latest Updated Articles

  • Management of UTUC using a kidney-sparing approach
    Management of UTUC using a kidney-sparing approach

    Published: May 21st 2020 | Updated:



Advertisement
Advertisement

Trending on Urology Times

1

FDA grants clearance to Hugo robotic-assisted surgery system for urologic procedures

2

Apalutamide is linked to fewer CNS-related conditions in patients with nmCRPC

3

Prostate MRI is linked with higher sensitivity, NPV vs micro-ultrasound in pilot study

4

Michael Cookson, MD, discusses new strategies for treatment intensification in prostate cancer

5

BOND-003: Cretostimogene yields durable 24-month responses in high-grade NMIBC

  • About Us
  • Advertise
  • Editorial
  • Contact Us
  • Job Board
  • Terms and Conditions
  • Privacy
  • Do not sell my Personnal Information
Contact Info

259 Prospect Plains Rd, Bldg H
Cranbury, NJ 08512

609-716-7777

Brand Logo

© 2025 MJH Life Sciences®

All rights reserved.

Home
About Us
News
Contact Us