
Dr. Dangle shows that pediatric ureteroscopy is safe and feasible with good results and without long-term sequelae on the ureters.

Dr. Dangle shows that pediatric ureteroscopy is safe and feasible with good results and without long-term sequelae on the ureters.

This video shows a case of semi-rigid ureteroscopy with laser lithotripsy for ureteral stone in a child, who is rendered stone free without pre-stenting.

This video of bilateral ureteroscopy in a 16-year-old male with cystinuria highlights several pragmatic strategies for efficient ureteroscopy while minimizing ionizing radiation.

Super-mini percutaneous nephrolithotomy may have some advantages over retrograde intrarenal surgery when treating 1- to 2-cm lower pole renal calculi, according to a comparative study.

Implementation of a hospital-wide clinical care protocol for managing obstructive pyelonephritis and sepsis from stones shows potential for improving patient outcomes, according to the experience of researchers at New York-Presbyterian Hospital, Columbia University Irving Medical Center, New York.

Discharging patients without opioids for pain control after undergoing outpatient ureteroscopy with stent placement appears to be feasible, results of a pilot study show.

"The concept of 'surgical quality' is emerging as an important component of health care delivery. At present, though, there is no universally accepted definition of what surgical quality is; indeed, this term may mean different things to different physicians, patients, and others," writes Brian R. Matlaga, MD, MPH.

An analysis of nearly 2,000 patients undergoing ureteroscopy found that approximately 10% of the cohort had an emergency department visit after the procedure, a figure a statewide quality improvement initiative is looking to reduce via patient education regarding ureteral stents.

In this interview, Margaret S. Pearle, MD, PhD, discusses the AUA’s guideline on medical management of stone disease and also touches on disposable ureteroscopes and percutaneous access.

A mobile app for stone metaphylaxis and an algorithm defining specific indications for stent omissions were among the other highlights in endourology/stones at AUA 2018.

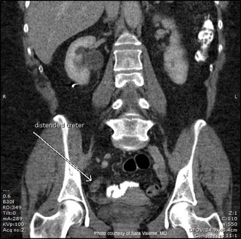
An elderly male with hypertension, lumbar spinal stenosis, morbid obesity, and ED presents with acute right-sided worsening of his chronic back pain. A distal right ureteral stone is found on CT and his symptoms respond well to medical therapy, but he later develops severe right flank pain.

"When submitting an unlisted code for a procedure, you of course need to submit your documentation and we recommend a cover letter or explanation of the service including a comparative value or charge based on a similar code," write Ray Painter, MD, and Mark Painter.

A preliminary analysis of data from a randomized controlled trial supports the efficacy of a low-oxalate diet for reducing urinary oxalate excretion in patients with idiopathic hyperoxaluria, but shows little or no benefit for daily dietary supplementation with vitamin B6 25 mg/magnesium 400 mg or a diet-supplement combination.

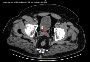
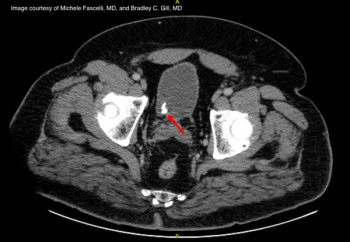
A 61-year-old female complains of acute-onset right-sided flank and abdominal pain. She describes associated nausea, but denied urinary symptoms, hematuria, fever, or chills.

A new single-use digital flexible ureteroscope (LithoVue) compares favorably in performance to reusable scopes, at least for routine urteroscopy, with a possible advantage of being more economical.

A study analyzing variation in spending for patients undergoing ureteroscopy or shock wave lithotripsy for urinary stone disease is a step towards helping urologists understand cost reduction opportunities.

Among ED visits within 30 days of elective ureteroscopy over the 6-month span, pain was the presenting complaint in about 60% of patients, Scott and White Medical Center researchers report.

The results could have major diagnostic and treatment implications for pediatric kidney stone patients, a researcher says.

Researchers who are investigating burst-wave lithotripsy, a potential alternative treatment for kidney stones, report that magnetic resonance imaging and ultrasound scans hold promise as tools to help scientists analyze related kidney injuries.

Results of a retrospective study raise concern that ureteroscopy may adversely affect erectile function.

In these videos, high-volume stone surgeons demonstrate novel approaches to classification, visualization, and treatment of stones.

“Our research shows that the implications of kidney stones may go beyond the discomfort they are so often associated with,” says co-lead author Andrew Rule, MD.

An analysis of data from three studies that involved a total of more than 240,000 participants found that a self-reported history of kidney stones was associated with a statistically significant increased risk of coronary heart disease among women.