
A 21-year-old male presented to the emergency department for evaluation of testicular pain and swelling 5 days after being struck in the groin.

A 21-year-old male presented to the emergency department for evaluation of testicular pain and swelling 5 days after being struck in the groin.

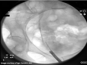
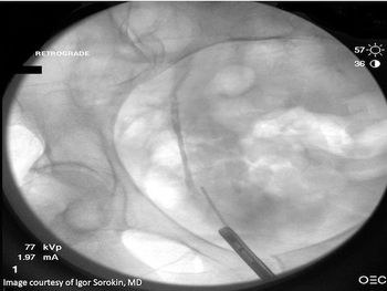
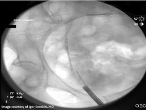
Igor Sorokin, MD, presents the case of a 36-year-old female in whom two proximal stones are seen on KUB, but intraoperatively, only one stone is seen.

This quiz focuses on a 40-year-old female who presents with a history of right flank pain and first urinary tract infection (UTI). After treatment of the UTI, she noted her right flank pain continued.

A 35-year-old male from Sudan was hospitalized with a right obstructing 1-cm ureteral stone seen on KUB. The KUB also revealed curvilinear calcification in the bladder wall. The patient was taken to the operating room for ureteroscopy and laser lithotripsy. During cystoscopy, a rim of calcification was seen along the right ureteric ridge. What is the diagnosis?

A 24-year-old male is seen in the emergency room for complaints of bilateral testicular pain for the past several weeks.

Igor Sorokin, MD, presents the case of a woman with a history of microhematuria and two positive cytologies for urothelial carcinoma. Ureteroscopy on the right side reveals three lesions.

A 34-year-old male has a known left atrophic kidney. He has been suffering from recurrent bouts of prostatitis and ejaculatory pain radiating to his left flank. An MRI was obtained to evaluate the patient’s anatomy.

A 75-year-old male with a long history of nephrolithiasis has been suffering with recurrent urinary tract infections and debilitating dysuria. After obtaining urine from the left renal pelvis, which appeared clear, a retrograde pyelogram is performed. What is your next step?

A 42-year-old female undergoes right percutaneous nephrolithotomy (PCNL) for a complete staghorn calculus. As a routine after PCNL, a chest-x-ray was obtained using fluoroscopy. What abnormality is seen?

A 46-year-old male underwent a left laparoscopic radical nephrectomy for a cT1b renal cell carcinoma. Intra-operatively, a rent in the descending mesocolon was made during bowel mobilization but was not closed. Subsequently, the patient presented to the emergency room 4 days later with complaints of sudden onset sharp abdominal pain and nausea. A non-contrast computed tomography scan was obtained. What is the diagnosis?

![[Quiz] Abdominal pain after laparoscopic nephrectomy](/logo.webp)
Published: December 15th 2017 | Updated:
![[Quiz]: Defect observed during RARP](/logo.webp)
Published: October 12th 2017 | Updated:
![[Quiz]: Abnormality seen in post-PCNL imaging](/logo.webp)
Published: February 9th 2018 | Updated:
![[Quiz]: Recurrent urinary tract infections in a male](/logo.webp)
Published: April 12th 2018 | Updated:
![[Quiz]: Recurrent prostatitis, ejaculatory pain in 34-year-old male](/logo.webp)
Published: June 19th 2018 | Updated:

Published: September 4th 2018 | Updated: