
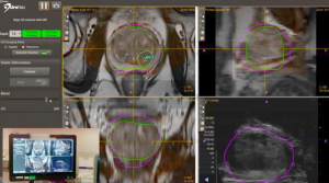
Pinto and colleagues provide an overview of MRI/TRUS fusion-guided transperineal biopsy utilizing the UroNav platform.

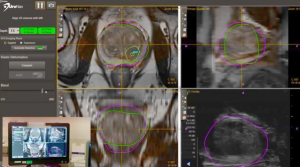
Pinto and colleagues provide an overview of MRI/TRUS fusion-guided transperineal biopsy utilizing the UroNav platform.

Published: April 20th 2020 | Updated: