
Case study: Discomfort, swelling in groin
This slideshow presents a case study of a 30-year-old male with discomfort in left groin region due to mass/swelling for 1 year.




Case history: 30-year-old male with discomfort in left groin region due to mass/swelling for 1 year.
Mass was smaller in size, then gradually progressed asymptomatically. No evidence of any pain in groin region and no skin discoloration.
Figure 1. A fusiform, lucent defect with scalloping of the inner cortex and periosteal reaction is noted with extension into the soft tissue along with stippled calcification of the cartilage matrix.






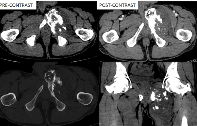
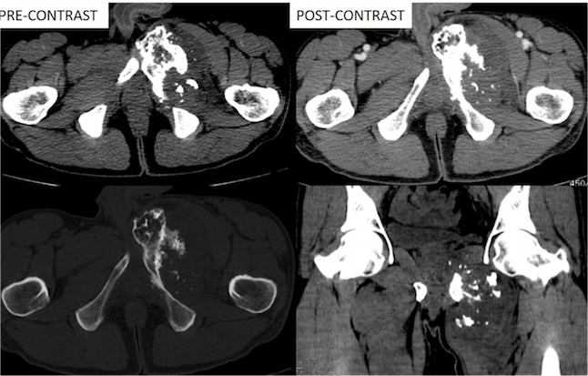
Figure 2. A large lytic expansile mass lesion arising from pubic bone causing underlying cortical expansion and destruction with narrow zone of transition. Central internal ring and arc calcification is also seen.






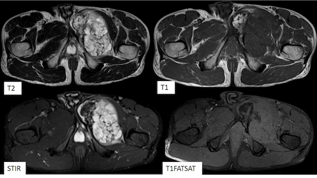
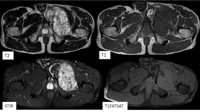
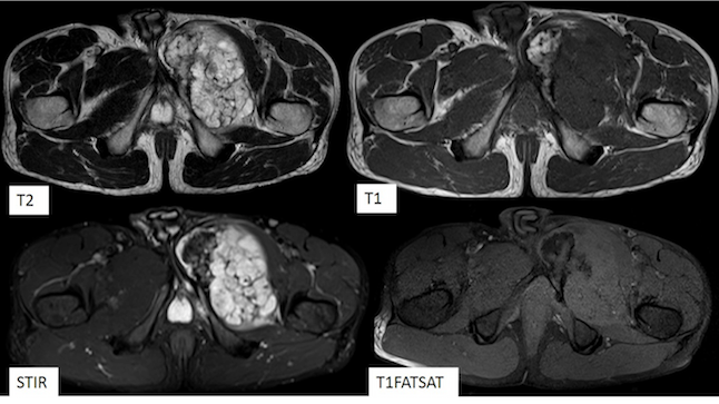
Figure 3. A large intramedullary mass lesion is noted arising from the body and near a portion of the left superior and inferior pubic rami. The lesion appears hyperintense on T2WI, STIR and hypointense on T1WI. The lesion has a short bony stalk with direct continuation with the underlying bone.






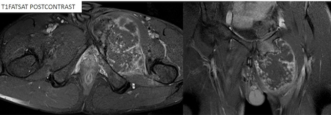
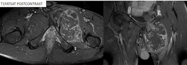
Figure 4. The lesion shows heterogeneous contrast enhancement.




Diagnosis: Chondrosarcoma of pubis
Findings
Local examination
A globular firm-to-hard swelling of approximately 10x6x4 cm was noted near left groin region, which is fixed to the underlying structures and nonmobile. However, there is no restriction in limb movements, and normal underlying femoral artery pulsation is noted.
Radiography
A large osteolytic, expansile lesion is noted in the left pubic bone with faint and characteristic popcorn calcification of cartilaginous matrix. There is also evidence of cartilaginous matrix mineralization, which is stippled, nodular, and showing rings and arcs.




Findings (continued)
CT with contrast
A large lytic expansile mass lesion was noted arising from the pubic bone causing underlying cortical expansion and destruction with narrow zone of transition. The lesion shows a central internal ring and arc calcification to suggest chondroid matrix.
MRI with and without contrast
A large intramedullary mass lesion of 9.5x8x11 cm was noted arising from the body and near portion of left superior and inferior pubic rami. The lesion appears hyperintense on T2WI, STIR and hypointense on T1WI. The lesion has a short bony stalk with direct continuation with the underlying bone.
The bulk of the tumor is noted to protrude into the medial aspect of the left upper thigh, elevating the gracilis and adductor muscle with altered signal intensity (hyperintense on T2WI, STIR) within it. On post-contrast study, the lesion shows heterogeneous enhancement.




Findings (continued)
Above findings of large cartilaginous matrix tumor with heterogeneous contrast enhancement, cortical expansion, and destruction suggests chondrosarcoma.
Differential diagnoses
Benign
- enchondroma
- parosteal chondroma
- chondroblastoma
- chondromyxoid fibroma
- osteochondroma
Malignant
- chondrosarcoma
- chondroblastic osteosarcoma




Discussion
Chondrosarcomas are malignant cartilaginous tumors. They can occur as primary tumors or may arise from pre-existing lesions, such as osteochondroma or enchondroma. They are more common in men and in adults over age 50. The most commonly affected sites include long tubular bones, the pelvis, ribs, and vertebrae. Chondrosarcomas behave in different ways, but many are low-grade tumors. The cells in these tumors look and behave like normal cartilage with only a small amount of abnormality.
In intermediate-grade tumors, cells still look like cartilage cells, but they show more malignant changes. In high-grade tumors, cells look much less like normal cartilage, and they grow and change rapidly. Dedifferentiated and mesenchymal chondrosarcomas are high-grade tumors that behave aggressively and tend to spread.




Discussion (continued)
Another rare condition called Ollier’s disease (also called enchondromatosis) can also increase this risk. People with rare genetic conditions called hereditary multiple exostoses (HME) and Maffucci syndrome are slightly more likely to develop a chondrosarcoma.
Typically, chondrosarcomas demonstrate increased uptake on bone scan, seen in over 80% of cases, and usually the uptake is quite intense. This is useful in helping to distinguish a low-grade chondrosarcoma from an enchondroma, as the latter has increased uptake in only 21% of cases, and usually to a lesser degree.
Wide surgical resection is the treatment of choice due to the increased incidence of local recurrence and metastatic lesions with incomplete resection.


References
1. Wolfgang Dahnert. Review of radiology manual, Edition 7, 2011.
2. Varma DG, Ayala AG, Carrasco CH, et al. Chondrosarcoma: MR imaging with pathologic correlation.
3. Murphey MD, Walker EA, Wilson AJ, et al. From the archives of the AFIP: imaging of primary chondrosarcoma: radiologic-pathologic correlation.
4. Geirnaerdt MJ, Hogendoorn PC, Bloem JL, et al. Cartilaginous tumors: fast contrast-enhanced MR imaging.
To get weekly news from the leading news source for urologists,
Newsletter
Stay current with the latest urology news and practice-changing insights — sign up now for the essential updates every urologist needs.




















