
Chronic prostate inflammation may predispose for cancer
Atlanta-Chronic prostatic inflammation may increase the chance that a man will develop prostate cancer, suggesting that men with inflammation on biopsy may need to be followed more closely and perhaps even be re-biopsied more aggressively, even if there is no evidence of cancer.


That was the conclusion reached by a team from Case Western Reserve University, Cleveland, which reported its findings at the AUA annual meeting here.




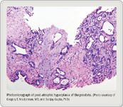
Of those 144, 54 (39%) had post-atrophic hyperplasia/proliferative inflammatory atrophy (PAH/PIA), while 22 (15%) showed only inflammation, another 22 had simple atrophy, 29 (20%) had adenocarcinoma, 12 (8%) had high-grade prostatic intraepithelial neoplasia (HGPIN), and five (3%) had atypical small-acinar proliferation (ASAP).


Repeat biopsies revealing
Perhaps the most valuable finding came when the group examined repeat biopsies done within 5 years in patients with chronic inflammation.
Almost 20% of those were found to have adenocarcinoma, including 15 patients with initial PAH/PIA lesions, seven with initial HGPIN lesions, six with only chronic inflammation, and one with initial ASAP.
The authors noted that HGPIN was subsequently found in seven men with PAH/PIA and in two with initial simple atrophy.
"In sharp contrast to that were the 33 cases initially showing no inflammation," Dr. MacLennan said. "Adenocarcinoma was subsequently found in only 6% [two cases] of those."
Dr. MacLennan suggested that potential etiologic factors in the genesis of chronic prostatic inflammation include imbalanced diet, exposure to environmental pollutants, high testosterone levels, viral infection, or genetic predisposition.
Newsletter
Stay current with the latest urology news and practice-changing insights — sign up now for the essential updates every urologist needs.