
MRI guiding future of prostate cancer diagnosis
Most prostate cancer experts aren’t ready to call the incorporation of MRI fusion into prostate biopsies the gold standard in prostate cancer imaging and diagnosis. But they envision a day when it will be.
National Report-Most
Generally, MRI-ultrasound fusion biopsy involves taking an MRI, then, at a separate appointment, fusing these data with real-time ultrasound images to help guide biopsy procedures.
“The beauty of it is that it brings the MRI into the clinic, where urologists can perform targeted biopsies in much the same way they do standard transrectal ultrasound [TRUS] biopsies,” said Leonard S. Marks, MD, professor of urology at UCLA, where nearly 1,200 biopsies using the new technology have been performed since 2009.


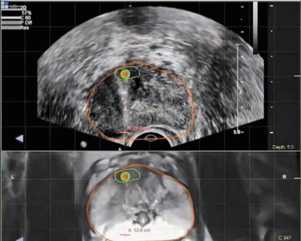
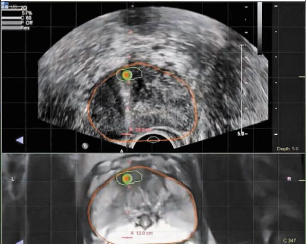
Fusion-guided prostate biopsy is performed at North Shore-LIJ School of Medicine using the UroNav system. Bottom screen shows a previously obtained MRI; green circle with red dot represents suspicious area. Top screen shows a real-time ultrasound, with red outline indicating the MRI that has been overlaid. Biopsy needle can be placed deep into the prostate to biopsy the top of the gland, which is not normally sampled during a standard 12-core biopsy.
Continue to next page for more.
Fusing accuracy, confidence


Dr. RastinehadFusion biopsies deliver important clinical advantages, including use in men with a rising PSA despite multiple negative biopsies (also see,
In men with a PSA of 4.0 to 10.0 ng/mL, Dr. Rastinehad said, the typical 12-core TRUS biopsy finds cancer 27% to 40% of the time, leaving around 70% of men with a negative biopsy-but not necessarily free of prostate cancer.
“In our cohort overall,” said Dr. Rastinehad, “fifty-five percent of patients had clinically significant cancer. So the impact of high-quality MRI is that we’re selecting more patients with higher-grade and higher-volume disease for biopsies. One of our future goals is to incorporate the MRI into the screening paradigm to possibly allow some men to avoid biopsy altogether.”
Fusion biopsies yield a much lower false-negative rate than random 12-core biopsies, said Samir Taneja, MD, professor of urology and radiology and director of the division of urologic oncology at New York University, where physicians have used the Artemis system (Eigen/Hitachi, Grass Valley, CA) to perform approximately 460 fusion biopsies.
“If you’re sampling the most suspicious area of the prostate,” Dr. Taneja explained, “then it’s unlikely you’ve missed a significant cancer. Over time, we believe that reduces the need for repeat biopsies.
“We believe that when we use the fusion biopsy technique, we are more able to target smaller abnormalities on MRI and lesions in tough spots like the anterior prostate and the apex than we would have been by sheer visual estimation of the location of an MRI abnormality. And that’s in fact what our recently published data show,” said Dr. Taneja, referring to an
Ultimately, said Dr. Taneja, “If you were only to do targeted biopsies, we believe it lowers the likelihood that you will find small, indolent cancers or clinically insignificant cancers.”
In a 285-patient phase III trial under way at Hofstra North Shore-LIJ, the UroNav fusion biopsy system (Invivo Corp., Gainesville, FL) detected prostate cancer in 46.6% of men with low MRI suspicion (score 3), 71.7% with moderate suspicion (4), and 100% of men highly suspicious for prostate cancer (5), according to Dr. Rastinehad.




Dr. MarksAt UCLA, the Artemis system has brought similar advances. “Since incorporating the technology,” said Dr. Marks, “we are hesitant to enroll someone in active surveillance based on a conventional biopsy that shows a tiny spot of tumor. We would prefer that they have a targeted biopsy first to make sure that we’re enrolling the right people.”
“We found early on that the degree of suspicion on the MRI correlates very well with the amount of cancer detected via biopsy,” said Jesse Le, MD, a fourth-year urology resident at UCLA working with Dr. Marks. “In our work with the new technology, along with finding more cancers at MRI suspicion levels 4 and 5, the cancers we find are more likely to be clinically significant. Ninety-three percent of patients with grade 5 lesions have biopsy-proven cancer. And of those, 75% are clinically significant cancers of Gleason grade 7 and above.”
The University of California, San Francisco has used DynaCAD for Prostate software, combined with the MRI-compatible DynaTRIM biopsy device (Invivo), which allows direct MR-guided biopsies. With this system, “We perform a multiparametric [MP] MR diagnostic or staging exam to best identify the tumor’s size, location, and other parameters,” said John Kurhanewicz, PhD, professor of radiology and biomedical imaging, urology, and pharmaceutical chemistry at UCSF.
The UroNav and Artemis devices also use DynaCAD software for interpretation of the MP-MRI, which measures morphologic, diffusion/perfusion, and metabolic changes associated with prostate cancer presence and aggressiveness.
“If we see a lesion that is amenable to a direct guided biopsy, then we have the patient return for a ‘fast’ imaging session, which focuses on anatomic imaging, without the functional measurements, to guide the biopsy,” Dr. Kurhanewicz said. The DynaCAD software combines the staging exam information with the anatomic imaging to identify the most likely lesion locations, which are biopsied using the DynaTRIM device. The patient then gets biopsied in real time.
“You’re actually seeing the patient and putting the needle in right inside the MRI tube,” Dr. Kurhanewicz explained. “The problem is that it’s much slower than TRUS biopsy. Therefore, it limits the number of targets you can go after in a time- and cost-effective fashion. With MR-guided biopsy, we do, on average, two to five cores, versus 12 or 16.” Accordingly, he said, several research groups including his are investigating ways to speed up the direct MRI-guided approach and to take advantage of the already faster commercially available MRI-TRUS fusion approach.
“The advantage of having MRI is that we see the whole gland. This cuts down on the sampling error that you get with a systematic biopsy, where even if you do 18 to 20 cores, you’re only sampling a very small portion of the gland,” he said.


Dr. KurhanewiczRegarding whether MRI can spot all prostate cancers, Dr. Kurhanewicz said, “Absolutely not. We know that systematic TRUS biopsies often detect small amounts of disease that we don’t see on MP-MRI imaging. We don’t know if that’s good or bad. We know we’re overdiagnosing prostate cancer when we diagnose a lot of clinically insignificant disease.”
The MRI-TRUS fusion approach allows one to perform a combination of systematic and targeted biopsies with MR guidance in the urologist’s office. “The MR guidance will give you confidence that you’re not missing any large, significant tumors with your biopsy approach. That’s probably its biggest advantage clinically,” said Dr. Kurhanewicz.
The MRI-ultrasound fusion concept parallels urologists’ use of partial nephrectomy of internal renal masses using CT or MRI guidance, said urologist J. Stephen Jones, MD, MBA, vice president, regional medical operations at Cleveland Clinic. “Urologists would cognitively know what part of the kidney to remove based on an image.”
Cleveland Clinic uses such cognitive fusion to guide prostate biopsies. “That means you see the image on the MRI, then you cognitively target the part of the prostate where you know that that lesion exists. Although you can’t see in real time on the ultrasound, certainly anyone who’s experienced with ultrasound can make a realistic assessment of where the needle should be directed.”
Advancing beyond academia
As with most new technologies, use of direct and fusion-based MR-guided biopsies remains limited largely to research-oriented institutions. An informal survey posted on the Urology Times website last month showed that only 17% of respondents currently perform MR-guided biopsy. Another 32% are not performing it but considering it, while half are not considering it at all.


However, said Dr. Kurhanewicz, “Over the next couple years, increasing adoption of fusion devices in particular will open up the field of MR-guided biopsy, because the device can be connected to virtually any ultrasound system.”
Dr. Taneja says that approximately 15 North American centers now use the Artemis system, including a few Midwestern community practices on board since the product’s inception. At press time, he added, approximately 10 locations were installing Artemis systems, while a handful of sites use the UroNav.
At Hofstra-LIJ, “We were able to reproduce the programs from the NIH here at LIJ and show the same performance of MR imaging with respect to cancer detected using fusion-guided prostate biopsies,” said Dr. Rastinehad, who trained at the National Institutes of Health with Peter Pinto, MD, and colleagues and assisted in development of the UroNav device (
Also approved in the United States is the Urostation (Koelis, La Tronche, France), while the BioJet 3-D MRI/TRUS Fusion Prostate Biopsy device (GeoScan Medical, Lakewood Ranch, FL) is approved in the United States and internationally. However, said Dr. Marks, Hitachi/Eigen and Philips/Invivo account for the lion’s share of sales and research worldwide.
All three devices available in the United States use the transrectal approach, which Dr. Taneja said provides highly accurate imaging because the ultrasound probe rests right up against the prostate. “The transrectal approach leaves the needle closest to the peripheral zone, where the vast majority of cancers lie,” he added.
The transperineal approach offers lower post-biopsy infection rates because no probe is inserted through the rectum, Dr. Taneja said.
“The other advantage is that it probably more accurately allows you to sample the very anterior prostate. Particularly in a large gland, it’s much easier to get at the part of the prostate that’s further away from the rectum, and maybe even to sample some of the prostate apex. The disadvantage of the transperineal approach is that it probably requires [general] anesthesia for most patients, compared to local blocks for TRUS,” he said.
The BioJet device works with either a transrectal or transperineal approach, according to its manufacturer. Similarly, said Dr. Rastinehad, a version of the UroNav device using the transperineal approach is under development. Dr. Taneja noted that in April 2014, NYU will become the beta-test site for the iSR’obot Mona Lisa (Biobot Surgical, Singapore), a robotic transperineal biopsy device that’s approved for U.S. use but not commercially released. NYU is testing the device in combination with an MR fusion application in development, he said.
On the downside, fusion biopsies take slightly longer than standard TRUS or transperineal biopsies. Dr. Taneja said that while most clinicians in practice can probably do prostate biopsies in 10 to 12 minutes, it takes him 20 to 25 minutes to perform a fusion biopsy (including some patient positioning, image acquisition/reconstruction, and the biopsy), plus 10 to 15 minutes to create the biopsy plan using the Artemis device’s ProFuse software (Hitachi/Eigen) a day or 2 before the biopsy visit.
Dr. Rastinehad said that using the UroNav system adds 5 or 10 minutes per procedure, but he still can complete both a fusion biopsy and a 12-core standard biopsy on the same patient in about 15 minutes.
Time differential aside, a fusion biopsy is only as good as its MRI component-and the clinical expertise behind it. “While NYU and other institutions that publish on this topic benefit from having the best radiologists,” explained Dr. Taneja, “very few institutions have long-standing experience with MRI.”
An MRI exam’s efficacy also depends on how a radiologist interprets the scan and how the radiologist reports the location and suspicion of the abnormalities so that the urologist can target those areas on biopsy, he said.
Fusion biopsy also could overestimate risk in certain situations.
“If you insert a biopsy needle four times into a 10-mm prostate tumor, because you are so aggressively sampling one area of the prostate that harbors the cancer, your biopsy is going to look like it has a lot of cancer in it. We still have to learn how to interpret what an MRI-guided biopsy means,” Dr. Taneja said.
Fortunately, he added, the pitfalls of fusion biopsy are correctable. “With good training, the biopsy itself can be done well after 20 to 50 cases.” Regarding MRI interpretation, “Literature shows that after 4 weeks of practice with an experienced reader, radiologists become quite good at reading MRI,” Dr. Taneja said.
Contemplating costs
For any of the equipment available stateside, the cost is in the range of $250,000 to $300,000, depending on whether the package includes ultrasound or not, according to Dr. Taneja. But presently, he added, urologists earn no more for doing an MRI-ultrasound biopsy than for a traditional biopsy, although fusion biopsy’s key selling point is not profit, but accuracy.
Dr. Rastinehad said that if his facility were to convert to fusion biopsies exclusively, it could offset almost 90% of the cost by submitting less material for pathology review. The initial MRI costs about $700, he estimated, based on Medicare rates. But because the average man with elevated PSA has 1.9 suspicious areas on MRI, he explained, one could submit two biopsy cups versus the usual 12. “And this excludes the cost savings of eliminated biopsies,” he said. Fusion biopsy also could reduce the costs and side effects associated with overtreatment, along with the anxiety it causes patients.
Setting the standard
Accordingly, experts interviewed by Urology Times say the key question is not whether MR guidance including fusion biopsy will become the gold standard in prostate cancer detection, but when.


Dr. Taneja“Although fusion biopsies are too new to be pronounced a gold standard, use of MRI in evaluating men who have had multiple repeat biopsies should ultimately be a standard of care,” said Dr. Taneja, predicting that this will happen within 2 to 3 years. “Also during that time frame, the use of MRI in prostate cancer detection and treatment will completely change the paradigm by which we think of prostate cancer-the way we detect it, assess its risk, and treat it. This will completely change the approach to prostate cancer from one-size-fits-all to a very individualized approach.”
“We’re still awaiting a true randomized, controlled trial to determine the cancer detection rates of this new proposed paradigm using an MRI as an intermediary step to sub-stratify a patient’s risk of cancer prior to a biopsy and then comparing this to the standard TRUS biopsy approach,” said Dr. Rastinehad.
Dr. Kurhanewicz added that research must begin determining best practices. “For example, the direct [MR-guided] approach may lend itself to a certain population, versus a fusion approach,” he said.
“As with PCs in 1975,” said Dr. Marks, “there are some deniers, but not many once they see the dramatic results of fusion-guided biopsies. Despite the cost, the learning curve, the new technology, and the time investment, the train has left the station.”
In fact, he said that his department believes MRI-ultrasound fusion represents the gold standard for prostate biopsies today. Nationally, said Dr. Marks, urologists use MRI-ultrasound fusion in less than 1% of the 1 million prostate biopsies performed yearly. But that will change quickly, he said, as heavyweight imaging companies continue putting their marketing muscle behind the technology.UT
Disclosures: Dr. Rastinehad is a principal investigator in the UroNav phase III trial. Dr. Taneja is leader of Eigen’s medical advisory board and a consultant for Hitachi/Aloka, Healthtronics, and Bayer.
Newsletter
Stay current with the latest urology news and practice-changing insights — sign up now for the essential updates every urologist needs.