
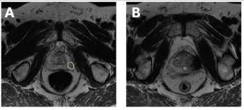
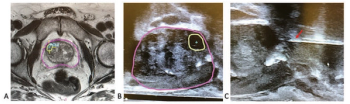
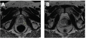
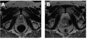
For patients undergoing salvage surgery or radiation, Kelly L. Stratton, MD, FACS, notes that previous focal therapy can influence outcomes.

For patients undergoing salvage surgery or radiation, Kelly L. Stratton, MD, FACS, notes that previous focal therapy can influence outcomes.

Stratton emphasized that the trial’s results provide greater confidence in recommending therapy and allow clinicians to counsel patients more decisively about next steps when PSA begins to rise.

Panelists discuss how patients currently on injectable androgen deprivation therapy can transition to oral options through an overlap period, and how stated drug interactions with androgen receptor pathway inhibitors have not been clinically significant in practice.

Panelists discuss how shared decision-making allows patients to test-drive oral androgen deprivation therapy options, providing flexibility for those concerned about quality-of-life impact or performance status, enabling them to start or stop treatment as needed.

Panelists discuss how patient preference plays a significant role in androgen deprivation therapy selection, with most patients preferring oral agents that offer rapid onset and quick testosterone recovery when treatment is stopped.

Panelists discuss how clinicians can confidently adapt to newer androgen deprivation therapy options like relugolix in combination therapies despite limited prospective data, emphasizing that oral agents simplify patient visits and provide equivalent testosterone suppression.

Panelists discuss how NCCN guidelines provide a framework for selecting appropriate androgen deprivation therapy (ADT) regimens across different disease states, with combination therapies now being standard of care rather than ADT monotherapy in most cases.

Panelists discuss how patient adherence to oral androgen deprivation therapy has been reliable in both clinical trials and practice, with the convenience of daily pills and portability during travel contributing to good compliance rates.

Panelists discuss how multiple pharmacologic and clinical factors influence androgen deprivation therapy selection, including mechanism of action, delivery method, patient preferences, cardiovascular risk profile, and the potential for rapid testosterone recovery.

Panelists discuss how oral androgen deprivation therapy options like relugolix fit into current treatment strategies across multiple patient categories, offering advantages in rapid onset, quick recovery, and convenience, particularly for patients requiring short-term treatment or those with cardiovascular risk factors.

Panelists discuss how the treatment paradigm for androgen deprivation therapy is evolving from traditional injectable GnRH agonists to include oral GnRH antagonists like relugolix, which offer more rapid onset, faster recovery, and avoidance of testosterone flare.

In this video, part 4 of a 4-part series, panelists discuss how primary care providers can address patient questions on prostate cancer screening.

In this video, part 3 of a 4-part series, panelists discuss treatment planning for prostate cancer, particularly in older patients.

In this video, part 2 of a 4-part series, panelists discuss the increasing prevalence of de novo metastatic hormone-sensitive prostate cancer.

In this video, part 1 of a 4-part series, panelists discuss the nuances and challenges of prostate cancer screening.

"“The approval of Gozellix is likely to both streamline and expand access to PSMA-PET imaging, hopefully broadening the distribution and use of gallium 68," says Kelly L. Stratton, MD, FACS.

Providers must carefully consider treatment options to align with patient preference.

Advanced imaging and improvements in biopsy techniques usher in a new paradigm for screening and diagnosis.

Published: March 9th 2021 | Updated:

Published: September 28th 2020 | Updated: