
Urologic Surgery
Latest News
Latest Videos

CME Content
More News

Reconstructive surgery for complications from female-to-male genitourinary reconstruction surgery and complex reoperative hypospadias repair were among noteworthy trauma/reconstruction topics at AUA 2018.


An 18-year-old previously healthy collegiate athlete presented to the emergency room with a rapid weight gain of 20 pounds during the previous 2 months. She complained of significant fatigue and irregular menstrual periods.

Research examining transcutaneous electrical nerve stimulation for nocturnal enuresis as well as pediatric sacral nerve stimulator explantation rate due to complications were among the noteworthy pediatric urology studies from AUA 2018.

Other take-home messages on transplantation from AUA 2018 included the finding that kidney paired donations have more than doubled since their inception in 2009 as well as early robotic kidney transplantation studies.

These videos demonstrate significant advances in percutaneous nephrolithotomy technique that can serve to optimize outcomes, reduce OR time, and help achieve optimal results.

Noteworthy minimally invasive surgery research from AUA 2018 also included topics such as robot-assisted versus open radical cystectomy as well as minimally invasive retroperitoneal lymph node dissection in men with testis cancer.

A mobile app for stone metaphylaxis and an algorithm defining specific indications for stent omissions were among the other highlights in endourology/stones at AUA 2018.

Recent studies point to the significant potential activity trackers hold in urology.

Few urology residents receive didactic education on gender-affirming care, survey shows.

"The world of laser vaginal rejuvenation is fast paced, with new companies adding a laser platform nearly each month," write Jessica DeLong, MD, and Jennifer Miles-Thomas, MD.

Recent data support the product’s use in protecting organs at risk for radiation exposure.

Laurence Baskin, MD, presents the case of a baby boy who had a tough forceps delivery, with accompanying sonographic images.

"Personally, I’ve tried to use a lot more NSAIDs and over-the-counter pain medications but there are times where I give very short-course Percocet or Norco to cover a patient for surgery," says one urologist.

This article examines current developments in robotic urologic surgery and future directions, including the introduction of alternative surgical robots.

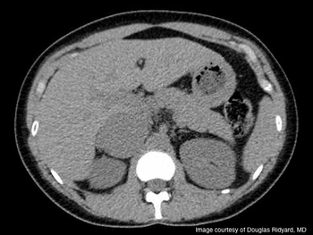
A 46-year-old male underwent a left laparoscopic radical nephrectomy for a cT1b renal cell carcinoma. Intra-operatively, a rent in the descending mesocolon was made during bowel mobilization but was not closed. Subsequently, the patient presented to the emergency room 4 days later with complaints of sudden onset sharp abdominal pain and nausea. A non-contrast computed tomography scan was obtained. What is the diagnosis?

Bipolar transurethral resection of the prostate offers an economic benefit compared with monopolar TURP that follows from the clinical differences between the two procedures, concluded investigators who presented their findings at the 2017 Western Section of the AUA annual meeting in Vancouver, BC.

"You need to make sure you’re doing the right surgery on the right patient so the surgery does not interfere with longevity," says one urologist.

A 16-year-old female presents with irritative voiding symptoms progressing to “urinary retention.” Evaluation with a renal, bladder, pelvic sonogram shows two normal kidneys. What is the differential diagnosis?

Early endoscopic realignment of pelvic fracture urethral injuries is associated with a low initial success rate, but the procedure does not hinder the success of subsequent urethroplasty and has other merits that may make it worthwhile, according to urologists from the University of Washington, Seattle.

While urologists are generally comfortable discussing patients’ sexual orientation, they report that both their knowledge of care of transgender patients and training in such care are lacking.

In this interview, urologist Francis J. McGovern, MD, discusses the scope of the problem of opioid abuse, outlines opioid-sparing strategies, and explains what the future holds in this area.



Other products and services discussed in this round-up include a biosimilar for cancer, an American College of Surgeons manual on quality initiatives, a kidney cancer microsite, and more.

























