
Eating more vegetables will not alter the natural history of prostate cancer or otherwise prevent progression of localized disease, according to a recent study.
Cheryl Guttman Krader is a contributor to Dermatology Times, Ophthalmology Times, and Urology Times.

Eating more vegetables will not alter the natural history of prostate cancer or otherwise prevent progression of localized disease, according to a recent study.

“To my knowledge, this is the first sanctioned guideline from a national organization that addresses the role of molecular biomarker testing for localized prostate cancer,” says guideline panel co-chair Scott E. Eggener, MD.

Results of a randomized controlled clinical trial provide a rationale for urologists to integrate behavioral treatments into their practice for managing men with lower urinary tract symptoms of overactive bladder, according to the study’s authors.

Prostatic artery embolization offers a safe and durably effective treatment for urinary retention and gross hematuria in challenging non-index BPH patients, according to the results of a retrospective study published in Urology (Nov. 14, 2019 [Epub ahead of print]).

Results of a cross-sectional study of adult American men show that adherence to a low-fat diet is associated with a lower serum testosterone level.

Men who undergo transurethral resection of the prostate are more likely to need a repeat procedure if their urologist graduated medical school after 1995 rather than earlier, according to findings of a retrospective population-based cohort study.

An expert multidisciplinary panel using robust methodology has developed recommendations for guiding urinary catheter management after transurethral surgery for BPH.

Results from analyses of data collected in the randomized, placebo-controlled Reduction by Dutasteride of prostate Cancer Events (REDUCE) trial point to a potential role for statins in attenuating age-related prostate enlargement.

Financial toxicity is prevalent among patients with bladder cancer, according to findings from a cross-sectional study presented at the American College of Surgeons Clinical Congress in San Francisco.

Findings from an analysis of data collected prospectively over an 18-year period provide further evidence supporting guidelines that recommend holmium laser enucleation of the prostate as the size-independent gold standard for surgical management of BPH, say urologists from McGill University, Montreal.

A set of evidence-based nomograms for predicting recovery of erectile function after radical prostatectomy is now available, and the developers hope that surgeons will use these tools to provide prostate cancer patients with a more accurate personalized estimate of their sexual function outcome.

Results from analyses of data collected in the randomized, placebo-controlled Reduction by Dutasteride of prostate Cancer Events (REDUCE) trial point to a potential role for statins in attenuating age-related prostate enlargement.

Access to novel therapies early in the regulatory process as a result of the FDA’s accelerated approval program can be valuable for many cancer patients, but the clinicians who are responsible for their care must have heightened vigilance for incoming data and FDA guidance about these drugs that have not gone through the “gold standard” of phase III testing.

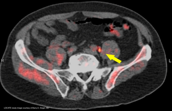
Findings from 18-fluciclovine (Axumin) positron emission tomography/computed tomography imaging had a major impact on management decisions for men with biochemical recurrence of prostate cancer.

Published findings from PROCEED, a large registry collecting data from men treated with sipuleucel-T (Provenge) for asymptomatic/minimally symptomatic metastatic castration-resistant prostate cancer, provide valuable insight on real-world outcomes associated with this immunotherapy agent in the modern era of prostate cancer management.

Sacral neuromodulation placement in a single-stage procedure is likely to be less costly than a two-stage approach for most practitioners, according to the findings of a cost minimization analysis.

The long-term durability of surgical modalities for management of BPH varies significantly, findings from a retrospective study suggest.

Data from prospective clinical trials show that the efficacy of high-velocity waterjet ablation (Aquablation using the AquaBeam System) for improving BPH-related signs and symptoms is the same in patients with a large-to-very large prostate as in men with a small-to-moderate size gland, said Naeem Bhojani, MD, at the AUA annual meeting in Chicago.

Analyses of data collected in PROCEED, a large real-world registry, corroborate phase III study findings demonstrating that sipuleucel-T (Provenge) treatment for metastatic castrate-resistant prostate cancer has a particular benefit for improving overall survival in African-American men.

Analyses based on number needed to treat benefit show that the overall survival benefit is similar when using abiraterone acetate (ZYTIGA), enzalutamide (XTANDI), or sipuleucel-T (Provenge) to treat men with chemotherapy-naïve metastatic castration-resistant prostate cancer. The data, however, favor sipuleucel-T for having the lowest direct cost.

“The variability in recommendations [for hematuria evaluation] and our study’s findings highlight implicit value judgments and a potentially high burden of harms not historically considered in many guidelines’ development process," says Matthew E. Nielsen, MD, MS.

A study evaluating outcomes of the prostatic urethral lift (PUL; UroLift System) in clinical practice show that the efficacy and safety documented in the selected group of men enrolled in clinical trials is maintained across the broader spectrum of patients who present for treatment of symptomatic BPH in the real-world setting.

Neoadjuvant chemohormonal therapy warrants consideration in the management of men undergoing radical prostatectomy for clinically localized high-risk prostate cancer, said James Eastham, MD, at the American Society of Clinical Oncology annual meeting in Chicago.

Results of a phase III trial show the benefit of darolutamide (Nubeqa) in reducing the risk of metastases or death compared with placebo in men with nonmetastatic castration-resistant prostate cancer.

Race does not affect oncologic response to treatment with docetaxel (Taxotere)/prednisone in men with metastatic castrate-resistant prostate cancer, according to research presented at the American Society of Clinical Oncology annual meeting in Chicago.

Adding enzalutamide (XTANDI) to androgen deprivation therapy significantly improves outcomes for men with metastatic hormone-sensitive prostate cancer regardless of whether they received prior chemotherapy.

18F-DCFPyL PET/CT imaging demonstrated excellent performance in identifying regional or distant metastases in men with prostate cancer in the prospective OSPREY study.

The high-power holmium laser with Moses technology (Lumenis Moses Pulse 120H) and the super-pulse thulium fiber laser (SPTF) have a similar ablative effect when operated at the same power, but when evaluated at maximal dusting settings, the SPTF laser seems to hold an advantage for greater efficiency, according to research reported at the AUA annual meeting in Chicago.

A significant proportion of men who progress radiologically while on the androgen receptor inhibitor enzalutamide (XTANDI) do not meet standard criteria for PSA progression, reported Fred Saad, MD.

Following a program that combines a low carbohydrate diet and modest walking may be an effective strategy for blocking many of the adverse metabolic effects of androgen deprivation therapy, according to findings of a randomized controlled trial.