
Although it may not be the last word on the topic, new research sheds light on the choice of cytoreductive nephrectomy and/or targeted therapy in patients with metastatic renal cell carcinoma.


Although it may not be the last word on the topic, new research sheds light on the choice of cytoreductive nephrectomy and/or targeted therapy in patients with metastatic renal cell carcinoma.

Here’s what to do when a patient disregards medical advice.


“I don’t expect appreciation... But I believe patients do appreciate what we do, and it’s nice to receive thanks," says one urologist.

“Florida, specifically South Florida, is a very tough place to practice. There’s a fairly prominent infiltration of Medicare HMOs with a lot of obstruction to doing anything for the patient that’s necessary," says one urologist.

Other pipeline products discussed in this round-up include agents for metastatic urothelial cancer, clear cell renal cell carcinoma, and stress urinary incontinence.

“A decade ago it was rare to have advanced practice providers as part of routine urologic care. Now they’re integral and a necessary part of any active urologic practice,” says Bradley A. Erickson, MD, MS.

Practical strategies are available to help you collaborate, not compete.

“[Researcher Arnaud Méjean, MD, PhD, has] really flipped the existing paradigm that we have in the management of advanced kidney cancer,” says Sumanta K. Pal, MD.

Retrospective analyses of data collected in a real-world study provide assurance about using nivolumab (Opdivo) to treat elderly patients with metastatic renal cell carcinoma who have failed previous therapy.

Urologists can easily miss or disregard these important aspects of contracts, which could come back to haunt them.

Noteworthy minimally invasive surgery research from AUA 2018 also included topics such as robot-assisted versus open radical cystectomy as well as minimally invasive retroperitoneal lymph node dissection in men with testis cancer.

Active surveillance in selected patients with localized renal masses 4 cm to 7 cm and a patient-derived xenograft system for predicting response to targeted and immune therapies in patients with metastatic RCC were among other noteworthy kidney cancer studies presented at AUA 2018.

A new frailty assessment tool can aid in the prognosis of urologic cancer patients, its inventors say.

A recent large, population-based comparative analysis examined outcomes for patients treated with percutaneous ablation, partial nephrectomy, or radical nephrectomy.

CMS’ Quality and Resource Use Report can help you understand your practice’s costs, says Robert A. Dowling, MD.

“The high initial complete response rate and durability observed in the interim analysis is very promising and suggests that UGN-101 could be an effective and well-tolerated noninvasive treatment for patients with UTUC,” says researcher Seth Paul Lerner, MD.

An analysis of trends in the management of renal masses shows growing use of active surveillance, although some data suggest “a proportion of surveillance cases may have been due to lack of access to care instead of truly choosing active surveillance,” says study author Ketan K. Badani, MD.

The approval of immune checkpoint inhibitor combination therapy may be the most significant advance in a decade for the treatment of metastatic renal cell carcinoma, an expert says.

While they may have potential anti-tumor effects in other cancers, non-steroidal anti-inflammatory drugs do not appear to confer a survival benefit in metastatic renal cell carcinoma.

High levels of visceral fat were associated with a significantly increased risk of death in women with clear cell renal cell carcinoma, but not in men, results of a recent retrospective study show.

“The findings should serve as a call to action for urologic specialists who care for patients with cancer,” says Alexander Kutikov, MD.

An immunotherapy combination of nivolumab (Opdivo) and ipilimumab (Yervoy) extended overall survival compared with sunitinib (SUTENT) as first-line treatment of patients with advanced or metastatic renal cell carcinoma.

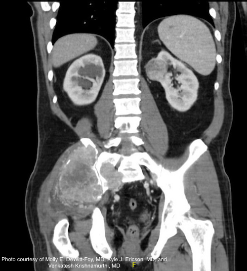
A recent study suggests experimental "texture analysis" of renal masses via computed tomography scan holds promise as a technique to allow more effective risk stratification.

In today’s digital world, having an active professional presence online has become a must.