
Prostate Cancer
Latest News
Latest Videos

CME Content
More News

A phase 3 trial has already been launched to build on these early results with the combination of the PARP inhibitor and androgen receptor inhibitor.

Tumors exhibiting homozygous DNA damage response (DDR) alterations were more likely to respond to talazoparib than those with heterozygous DDR alterations.

Jason Zhu, MD, discusses factors he considers when choosing treatment for patients with lymph node–positive prostate cancer after prostatectomy.

Ward's analysis includes a discussion of adjuvant radiotherapy versus early salvage radiotherapy.

Using a blood or saliva sample, ProstateNow employs a 3-pronged approach for assessing risk.

“This test requires just one millimeter of cancer on a biopsy on five consecutive slides,” says Eric A. Klein, MD.

The PARP inhibitors olaparib and rucaparib are approved by the FDA for the treatment of patients with metastatic castration-resistant prostate cancer.

Robert Dreicer, MD, discusses emerging strategies for overcoming resistance to second-generation antiandrogens in prostate cancer.

Leonard G. Gomella, MD, discusses questions that still need to be resolved with biomarkers for the diagnosis and management of patients with prostate cancer.

The trend persists even after adjusting for surgical volume and experience.

Scott T. Tagawa, MD, highlights pivotal research and next steps with the alpha particle–emitting radioactive therapeutic agent radium-223 in prostate cancer.

The European Commission is reviewing supporting data from the phase 3 ARCHES trial.

Dr. Leonard G. Gomella discusses emerging biomarkers and the use of MRI for the early detection of prostate cancer.

“This study represents the most comprehensive analysis to date of tumor mutation burden as a biomarker for response to immune checkpoint blockade,” according to lead study author Daniel J. McGrail, PhD.

Transperineal prostate biopsy was associated with a higher likelihood of upgrading to clinically significant prostate cancer versus transrectal prostate biopsy among men on active surveillance.

“The way I think about this test now is… more as a dichotomous score,” says Eric A. Klein, MD.

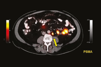
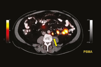
The targeted radioligand therapy 177Lu-PSMA-617 also improved progression-free survival when added to best standard of care (BSC) compared with BSC alone.

Scott T. Tagawa, MD, explained the latest developments with the radiopharmaceutical radium-223 at the 2021 New York GU 14th Annual Interdisciplinary Prostate Cancer Congress®.

“It’s really fascinating how the field is expanding,” Klein says.

Findings support the modality’s use in biochemically recurrent prostate cancer, investigator says.

The technique is safer and more accurate than transrectal biopsy, an investigator says.

Multiple FDA approvals are anticipated in the theranostics space.

The study is evaluating the triplet in patients with metastatic castration-resistant prostate cancer who have become resistant to first-line treatment with an androgen receptor signaling inhibitor.

The anonymous online survey, is meant to gain information “from urologists about the current survivorship care that is provided for survivors of prostate cancer,” according to Stacy Loeb, MD, MSc.

MRI before biopsy with prostate cancer screening was associated with both a clinical and cost-effectiveness benefit compared with a biopsy-first pathway.


























