
Prostate Cancer
Latest News
Latest Videos

CME Content
More News

The approval of the GnRH receptor antagonist is based on data from the phase 3 HERO study.

Treatments provide a targeted therapeutic strategy for metastatic castration-resistant prostate cancer.

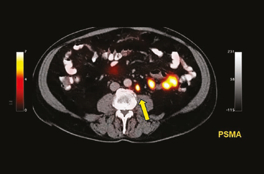
Murphy shares the backstory of how PSMA PET/CT imaging has emerged as a major advancement in the prostate cancer armamentarium.

The new drug application for 18F-DCFPyL is supported by results from the OSPREY and CONDOR trials.

Olaparib has "ushered in the era of precision medicine in prostate cancer," said Maha Hussain, MD.

Experts in prostate cancer, bladder cancer, kidney stones, OAB/incontinence, BPH, and sexual dysfunction recap all the key advances from 2020.

"As we slowly move toward the promise of precision medicine, it is important to understand fully this concept and the importance of testing and how it is to be used for diagnosis, management, and risk assessment," writes Raoul S. Concepcion, MD, FACS.

“Further prospective studies are warranted to identify potential mechanisms and to develop strategies that include a fall risk assessment tool to examine the risk factors for falls or fracture,” the authors wrote.

"Despite some heterogeneity in the type and frequency of testing during the surveillance period, these results provide reassurance and increased confidence in the safe utilization of AS protocols for men with low-risk GG1, and selected GG2, prostate cancer," Mian writes.

At a median follow-up of 15 years, the pooled analysis showed statistically significant improvements with adjuvant ADT over neoadjuvant ADT in biochemical failure, distant metastasis, and progression-free survival rates.

The vaccine RV001 targets RhoC, a small GTPase that is overexpressed in advanced solid tumors.

Hear from key opinion leaders in the urology space as they discuss 3 complex cases across the multidisciplinary approach.

SpaceOAR Vue Hydrogel, a radiopaque perirectal spacer for radiation therapy, is now available in the United States for use in patients with prostate cancer receiving radiotherapy.

"If your practice does not closely monitor patients and send them for early salvage radiotherapy when their PSA is 0.1 or 0.2 ng/mL, it is likely that adjuvant radiotherapy is superior," Daniel E. Spratt, MD, writes.

Christopher P. Evans, MD, and J. Brantley Thrasher, MD, conclude an in-depth discussion on active surveillance in men with low-risk prostate cancer.

In this video, Samuel J. Peretsman, MD, also discusses his experience with robotic prostatectomy following HIFU.

Christopher P. Evans, MD, discusses his active surveillance protocol with J. Brantley Thrasher, MD.

FoundationOneLiquid CDx will identify HRR alterations, such as BRCA1, BRCA2, and ATM, that make a patient eligible for olaparib.

“Metastatic prostate cancer is a complex cancer with marked inter- and intrapatient heterogeneity; therapy development must focus on the totality of disease biology,” said Maha Hussain, MD.

68Ga-PSMA Cerenkov luminescence imaging accurately assessed surgical margins during radical prostatectomy.

The approval was based on the PROfound trial, in which olaparib reduced the risk of death by 31% compared with abiraterone acetate or enzalutamide.

“[Patients]… need to understand what they’re gaining and what they’re giving up,” says Samuel J. Peretsman, MD, in this video.

PSA monitoring and early salvage therapy appear to be safest in these patients.

The study showed the risk of metastasis and mortality was not higher for African American men on active surveillance compared with non-Hispanic white men on active surveillance.

Samuel J. Peretsman, MD, explains how he incorporated HIFU into his practice.
























